一般歯科
GENERAL
虫歯治療
虫歯が悪化すると神経を抜く治療を必要とする場合があります。しかし、歯の神経は「痛み」を伝達する大切な役割を担っています。そのため、治療のためとはいえ、神経を取ると「痛み」という危険信号がなくなり、虫歯の悪化にも気づけなくなります。
この点を踏まえて、当院ではできるだけ神経を残す治療を心掛けています。とはいえ、重症化してからご来院された場合、神経を残せないことが多いです。そのため、気付いたことがあればぜひ早めにご相談ください。
こんな症状が出ていたら要注意
- 歯が痛い、痛かった
- 歯と歯茎の間が白くなっている
- 冷たいものや熱いものがしみる
- 歯に穴が開いている
- 歯の変色している
- デンタルフロスが同じところで引っ掛かる
当院の虫歯治療の特徴
できるだけ削らない虫歯治療
虫歯に対しては、悪い部分を削って被せる治療がずっと行われてきました。しかし、歯は削るほど弱くなりますから、できるだけ削らない方が歯の保存につながります。そのため当院は「できるだけ削らない治療=ミニマル・インターベンション」を取り入れています。
たとえば初期の虫歯であれば、削らず経過観察とすることもありますし、削る場合も最小限にとどめます。これを踏まえて、歯をできるだけ残したいと思う方は、ぜひ当院にご相談ください。
痛みを感じにくくするための工夫
「歯科の治療に強い恐怖感がある」という方に向けて、当院は笑気麻酔を扱っています。低濃度の笑気ガスを吸入すると、痛みを感じにくくなりますし、気持ちもリラックスするので恐怖心が減ります。さらに、嘔吐反射も緩和されますから治療の苦痛が軽減できます。笑気麻酔は影響時間が短く、体外排出も早い特徴をもっています。
歯科の治療に恐怖や不安を感じる方は、ぜひ当院にご相談ください。
虫歯の進行段階
- C1
エナメル質の虫歯
歯の表面のエナメル質が溶かされ、虫歯が少しずつ進行している状態です。虫歯を正確に削り取り、詰め物をするケースがほとんどです。削らずに定期的なチェックを行うこともあります。
- C2
象牙質の虫歯
エナメル質の奥の象牙質にまで細菌が進行している状態です。象牙質は神経に近いため、知覚過敏として歯がしみるようになります。虫歯を削り取り、詰め物や被せ物をするのが基本です。
- C3
神経まで侵された虫歯
歯の神経が虫歯菌に感染し、強烈な痛みを引き起こします。細菌に感染した組織を除去・清掃・殺菌し、被せ物を被せていきます。
- C4
歯の根まで達した虫歯
歯の大部分が失われている状態です。根の先端に膿が溜まっていると、顎の骨や周囲の歯に悪影響を及ぼすようになり非常に危険です。多くのケースで抜歯を検討します。
重度の虫歯でも歯を残す
「根管治療」
当院は患者様の大切な歯をできるだけ残したいと思っていますから、神経をできるだけ抜かない治療、歯をできるだけ抜かない治療を提唱しています。その一環で大切なのが「根管治療」です。
根管治療では歯の根に起こったトラブルを解消し、過去の治療なら抜歯していたような歯を残すために行います。根管は非常に細く形状が複雑なので、根管内の清掃は高難易度です。そのため、当院ではさまざまな工夫や治療器具を導入しています。
それでも
歯を失ってしまったら
虫歯などで歯を失った場合には、当院では入れ歯やブリッジ、インプラントなどで補います。患者様のお口の中はそれぞれ異なるので、都度状態に合わせた方法を提案し、食事や会話に支障が出ないように治療を行います。
歯周病治療
歯周病はお口の中に存在する細菌によって起こる炎症性の感染症です。初期の状態は歯肉だけに炎症が起こるので歯肉炎と呼ばれますが、進行すると炎症が広がっていき、次第に歯を支える骨にもダメージが及びます。
歯周病は初期には自覚症状がないまま進行するので気づきにくいですが、悪化すると歯を失うこともありますし、全身の健康状態にも悪影響を及ぼします。日本人が歯を失う原因の第1位は歯周病ですから、ぜひ早めに治療につながりましょう。
こんな症状が出ていたら要注意
- 歯茎から血が出る
- 歯茎を押すと膿が出る
- 口の中がネバネバする
- 歯茎が腫れている
- 歯がグラグラする
- 口臭が気になる
当院の歯周病治療の特徴
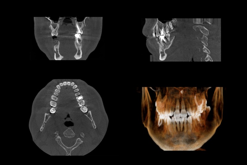
歯科用CTを使った正確な診断
歯周病は進行すると骨が溶けてしまう病気ですが、 2次元パノラマの歯科用レントゲンでは骨の厚みや密度まで確認することはできません。
当院で導入している歯科用CTは3次元画像で診断が出来るため、歯や顎の骨の状況を立体的に把握でき、歯周病の進行度を正確に診断することができます。
レーザーで痛みの少ない治療を実現
当院では、症状に合わせて「CO2レーザー(炭酸ガスレーザー)」を使った歯周病治療を行っています。CO2レーザーには殺菌作用や止血作用があり、治療時の腫れや出血を抑えることができます。レーザーを患部に照射するだけで、刺激や温度の上昇による痛みはほとんどなく、体への負担の少ない治療が可能になります。
歯周病の進行段階
- StageⅠ
歯肉炎
細菌に含まれる歯周病菌の毒素により炎症が起こり、歯ぐきが赤く腫れている状態です。自覚症状はほとんどありません。そのため、多くの方がメインテナンスを怠ってしまい、症状がより悪化してしまうのです。
- StageⅡ
軽度歯周炎
歯ぐきに軽度の炎症が生じており、歯磨きの際には歯ぐきから出血することもあります。歯と歯ぐきの間に歯周ポケットが形成され、歯垢や歯石が付着しやすくなります。
- StageⅢ
中等度歯周炎
歯を支えている歯槽骨が、歯周病菌によって溶かされ始めています。歯周ポケットも深くなり、さらに汚れが溜まりやすい状態です。口臭が出てきたり、歯がグラグラと動くような感覚を覚えたりすることが増えてきます。
- StageⅣ
重度歯周炎
歯槽骨の半分以上がすでに破壊され、歯を支えること自体が難しくなっています。歯を指で押すとグラグラするのがはっきりとわかったり、歯ぐきからは膿が出たりします。早急に治療が必要です。
歯周病と全身疾患の関係
歯周病は全身疾患を引き起こすリスクを高めます。歯ぐきの毛細血管などから体内に侵入し、強い毒素を放出しながら全身を巡ります。結果的に、動脈硬化に伴う心筋梗塞などの心臓病、糖尿病の発症や進行の原因にもなりえます。また、妊娠中の場合は子宮の収縮を強めて早産や低体重児出産のリスクを高めると言われています。
歯周病は
メインテナンスが大切
歯周病の治療を受けて状態が良くなっても、お口のケアが不十分だと、歯周病が再発するリスクがあります。
歯周病によって歯肉が下がっている部分や、インプラントや被せ物などでカバーした部分は歯磨きがしにくく、歯垢や歯石がたまりがちです。そのため、早めに当院にお越しいただき、プロによるメインテナンスを受けてください。
定期的にメインテナンスをご利用いただければ、健康な状態を保ちやすいので、ぜひ定期検診にお越しください。
義歯(入れ歯)
義歯(入れ歯)は失った歯を補う方法として代表的な存在です。当院では保険診療と自費診療の両方の入れ歯を扱っていますが、基本的に保険診療の入れ歯をご提案しています。とはいえ、保険診療の入れ歯を使ったうえで、「もっと噛みやすい入れ歯が欲しい」、「審美性が高い入れ歯を作りたい」というご要望に対しては自費診療の入れ歯を作製いたします。
いずれの場合もメリット・デメリットを丁寧に説明しますので、わからないことがあれば何でもお尋ねください。
こんな症状が出ていたら要注意
- 入れ歯がよく外れる
- 食べ物が食べにくい
- 入れ歯が痛い
- 違和感がある
- 喋りづらい
- 口の中を傷つけてしまう
お口に合わない入れ歯を
そのままにしてはいけません
お口の状態にあっていない入れ歯を無理に使っていると、
お口の中にダメージを負ったり骨の吸収が進んだりするリスクがあります。
とはいえ、入れ歯を使わずに過ごすと残存歯に負荷がかかるのでおすすめできません。
入れ歯を作る技術も進化を続けていますから、過去にはお答えできなかったご要望に対応できるケースがあります。
当院でも極力患者様のご希望に沿うよう様々な治療を用意していますので、ぜひご相談ください。
当院で取り扱いのある
入れ歯の種類の例
横にスクロールできます
横にスクロールできます
入れ歯も
定期的にメインテナンスを
入れ歯は毎日ご自宅で清掃していただくことと、定期的に歯科医院でメインテナンスを受けることで長く快適に使用できます。
当院に入れ歯をお持ちいただければ、超音波洗浄機などの機器を使ってご家庭では落とせない汚れを一掃します。またその際には、患者様のお口のクリーニングも行いますので、ぜひ毎月1回ご来院ください。
また年齢が上がると固い物を食べる機会が減り、噛む力が低下しがちなのでそれらの点もチェックしています。
スポーツ用マウスピース
(マウスガード)
スポーツ中の衝撃から歯や顎を守り、安全に競技を楽しむための「スポーツ用マウスピース」。
歯科医院のスポーツ用マウスピースは、咬み合わせなども考慮しながら製作するため、より高いフィット感と保護効果が期待できます。お子様のスポーツデビューを応援する保護者の方や、より安全に競技に取り組みたいアスリートの方、ぜひご相談ください。
スポーツ用マウスピースのメリット
-
歯や顎を保護
スポーツ中に激しい衝突や転倒が起こった際、歯が折れたり、口の中を切ったりする可能性は決して低くありません。マウスピースは、こうした口腔内のケガから守ってくれる頼もしい存在です。歯だけでなく、唇や舌などの軟組織も保護し、安心してスポーツに集中できる環境を作ってくれます。
-
脳震盪のリスクを軽減
マウスピースは、歯を保護するだけでなく、脳の安全を守る役割も担っています。激しい運動中の衝撃は、顎や頭部に伝わり、脳震盪を引き起こす可能性があります。マウスピースは、顎への衝撃を吸収することで、脳へのダメージを軽減し、脳震盪のリスクを減らす効果が期待されています。
-
パフォーマンスの向上
マウスピースを装着することで、歯をしっかりと噛みしめやすくなり、集中力が高まるというメリットもあります。集中力が高まれば、プレー中の判断力も向上し、より良いパフォーマンスを発揮できる可能性が高まります。




